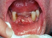
يصيب سرطان اللثة،حسب إحصائيات منظمة الصحة العالمية، أكثر من عشرين ملايين شخص في العالم سنويا، وفي الولايات المتحدة الاميركية لوحدها ما يزيد عن الـ 30الف شخص. وغالبا ما يكتشف المرض في المراحل المتقدمة عندها تكون فرص النجاة قليلة.
يعتبر سرطان اللثة من الانواع الخبيثة جدا، اذ يمكنه ان يسير بمرحلة خفية طويلة، خاصة ان كانت القرحات التي يسببها صغيرة في البداية من دون إحداث آلام، ويكتشفها طبيب الأسنان في بعض الأحيان خلال فحص روتيني لكامل الفم، أو بسبب شكوى المريض من التهابات دائمة في اللثة.
وقد ابتكر باحثون أميركيون في تكساس مؤخرا غسولات للفم جديدة بامكانها كشف سرطان الفم في فترة زمنية قصيرة جدا لا تتجاوز الدقيقتين، لكن يجب استخدامها في الوقت المناسب، اي عندما يصاب المريض بالتهابات وقروح في الفم لا تلتئم.
وتحتوي هذه الغسولات على مادة التولويدين ترتبط فقط بخلاياش الجسم التي طرأت عليها تبدلات انقسامية سريعة. وهي على شكل صبغة زرقاء اللون تعطي الأنسجة المرتبطة بها لونا خاصا عند الارتباط بها. وطالما ان الخلايا السرطانية تنقسم بشكل أسرع في الطبيعة تبدو منطقة السرطان بلون ازرق بعد اجراء الغسولات الفموية.
وقد بينت التجارب ان دقة السائل الجديد واطلق عليه اسم اوراكسرين بلغت 90 في المئة، ويمكن معرفة المناطق الصغيرة جدا في الفم التي حدث في خلاياها تحول بسيط، اي قبل ان تنقلب الى خلايا سرطانية سريعة التطور. ويعد اكتشاف السرطان في المراحل الاولى أساس المعالجة الحديثة ويزيد في نسبة البقاء على قيد الحياة كما يقول البروفسور جميس اونيل من جامعة تكساس حيث جرت التجارب على الغسولات.
ويقول البروفسور الأميركي ان إجراء عملية الكشف بسيطة جدا، فبعد غسل المريض لفمه بمادة حادة كالخل مثلا من اجل ازالة كل ما علق بها، يغسل الفم بالسائل الكاشف وبعد دقائق قليلة يبصق السائل ويغسل فمه جيدا جدا ومن الأفضل ان يكون ذلك بمسحوق خاص لتنظيف الفم. فاذا اصبحت انسجة اللثة زرقاء فاتحة فهذه إشارة الى وجود التهاب، اما اذا كانت زرقاء داكنة جدا فهذا مؤشر لوجود بؤرة سرطانية، عندها على الطبيب المباشرة بالفحوصات والعلاجات اللازمة إذ يكون المرض في أول مراحله. ويضيف البروفسور، ان المادة الكاشفة لا تستخدم لتحري السرطان فحسب، وانما لديها قدرة على تقصي بؤر الالتهاب في الفم، وبالطبع يمكن تمييز الالتهابات عن السرطان من خلال درجة تكون النسيج.






التعليقات